LAUREL - Paying it forward.
It’s a concept we’re all familiar with: someone helps you, and you pass that help on to someone else in need.
One of the best current examples is in Laurel, where a firefighter is raising money for brain cancer patients — patients just like himself.
"You don't think brain tumor at 52. Or ever," Kari McCleary said.
That's why the thought didn't even cross her mind when she got a phone call from her stepson the morning of Sept. 2, 2021.
"He said, 'We just called an ambulance for dad.' And I said, 'Whose dad?'" McCleary remembers.

"We had responded to a vehicle fire that morning," Sean McCleary said. "I left the house and said I’d be right back."
But he wasn’t, after his EMT son noticed there was something wrong with Sean on the drive.
"I grabbed the radio and keyed dispatch, but when they answered I didn’t know what I was going to say," Sean said. "I had it all in my mind, but I couldn’t say it. Thirty seconds later, I keyed the mic again and the same thing happened. The third time, I started stuttering."
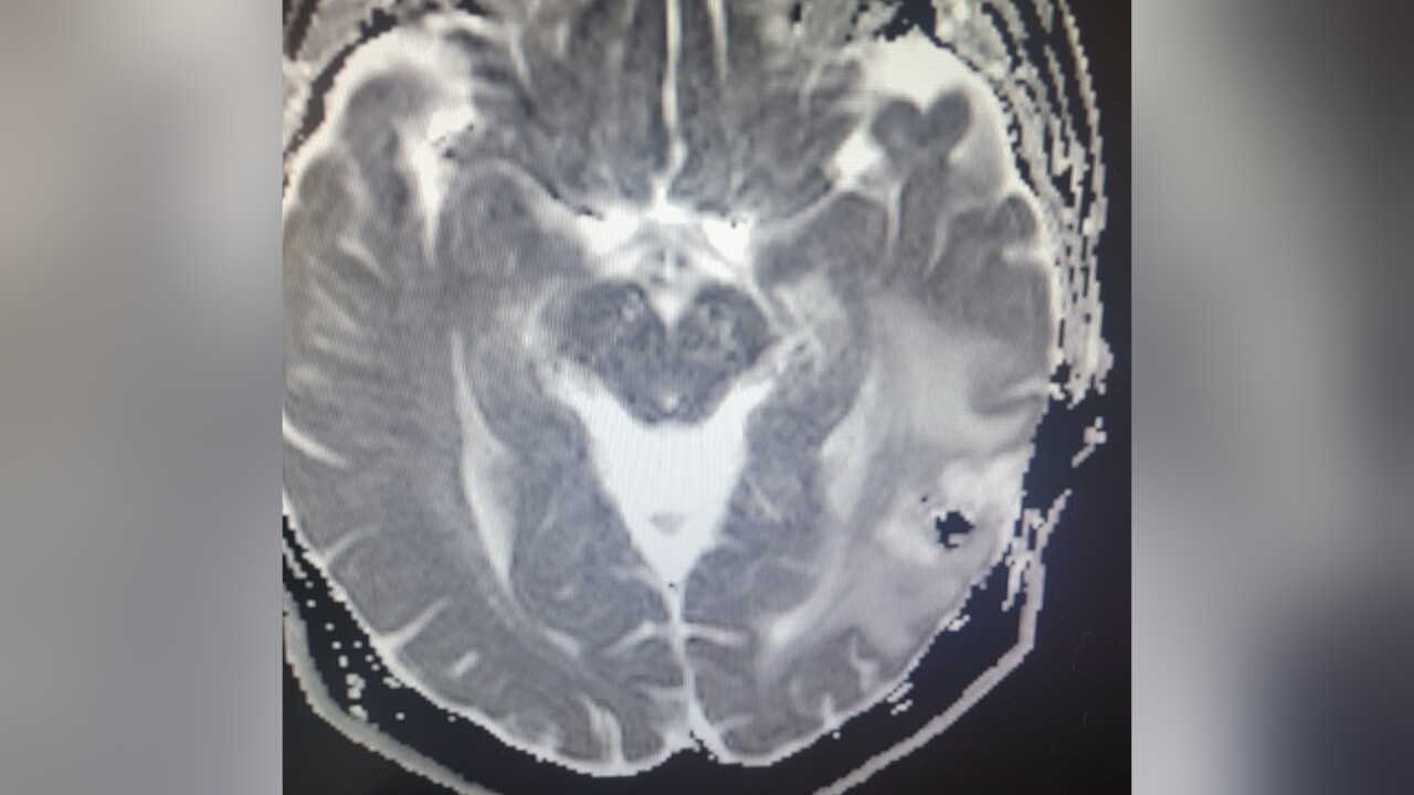
The fire truck pulled over, and Sean basically blacked out. By the time he got to the hospital and had an MRI taken, the diagnosis was clear: Sean had a large glioblastoma - a tumor -on the back left part of his brain. Two days later, he was in surgery.
"I’m not really that emotional," Sean said. "I've never seen anything like that before, except on television. I start crying because I’m scared. I didn’t know if I was going to wake back up."
"That was the longest 5.5 hours of my life," Kari added.

When Sean did wake up, it was to good news. Billings Clinic Neurosurgeon Dr. Vance Fredrickson was able to remove almost the entire tumor.
"The goal is always to get as much as you can safely - there's a longer survival if you get more," Fredrickson said. "But there's also a shorter survival if you cause major deficits trying to get the tumor out."
Deficits meaning basic motor functions - speech, sight, etc. For the next year, Sean looked and felt great, and the Laurel community rallied behind him, holding a number of fundraisers to help with his recovery. But then the tumor started to grow back, and Fredrickson needed to go back in.
"He said, 'I want to go a little deeper if that's ok, but you’re probably going to lose some of your vision,'" Sean remembers of the conversation. "I said I’m totally fine with that - just get that out of my head."

Once again, the outcome was extremely positive: Sean's most recent scans showed the tumor shrinking, and he has nothing but praise for all of the medical personnel involved. But life is much different now.
"I can’t do anything," he said. "I can’t hop in the truck and drive downtown to the fire station or the store. I literally have to rely on other people to take me places and to do some of the things."
"Yes, it’s a happy ending right now," Kari said, "but this is something we may have to deal with for the rest of his life."
Two things have made a huge difference: one, he’s started going back to the fire department.
"He helps tell people what to do, what truck to take, who can go on what truck," Kari said. "He's working on getting back on a truck, but that's going to take some time."
Until then, Sean is helping a different group, which brings us to No. 2: the McClearys held a chili cook-off last month to raise money for fellow brain cancer patients, and they're already working on a smoked meat competition fundraiser for May.

"We had so many people helping us out," Sean said. "So that’s what we want to do. It's not like we have a million dollars or anything, but we do what we can."
For Sean, that’s more and more every day.
"We’re doing ok. Health-wise, it's a lot better. Mentally, I'm a lot better," he said. "But I always used to help people - that's how I was raised. So I want to help others."